Správy zo spoločnosti Zentiva
6. decembra 2024 / Články
Zriedkavé nádory močového mechúra
Zriedkavé nádory močového mechúra
MUDr. Michal Korček, Urologické oddelenie, FN NitraÚvod
Zhubné nádory močového mechúra tvoria významnú časť onkologických ochorení v Slovenskej republike. Podľa posledných údajov z roku 2010 bolo v uvedenom roku hlásených celkovo 971 zhubných nádorov močového mechúra, z toho u mužov 685 (4,2 % zhubných nádorov) a u žien 286 (1,8 %). Štandardizovaná incidencia na Slovensku je 18,4/100 000 u mužov a 5,3/100 000 u žien (1).WHO klasifikácia z roku 2016 rozdeľuje nádory močového mechúra na niekoľko skupín: uroteliálne nádory (2), rohovatejúce nádory, glandulárne nádory, urachálny karcinóm, nádor Mullerovho typu, neuroendokrinné nádory, melanocytárne nádory, mezenchymálne nádory a nádory zmiešaného typu (3).
Vyše 90 % nádorov tvoria rôzne podtypy uroteliálnych nádorov (2). Ostatné skupiny sú výrazne zriedkavejšie a niektoré boli doteraz popísané len v niekoľkých prípadoch.
Rohovatejúci karcinóm močového mechúra.
Rohovatejúci karcinóm močového mechúra je najčastejším neuroteliálnym karcinómom hlavne v oblastiach s endemickým výskytom schistosomiázy. Najvyšší výskyt je v 5. dekáde života s pomerom M:Ž 5:1. Vzhľadom na pokles výskytu schistosomiázy jeho incidencia klesá. Samostatnou klinickou formou je zriedkavá forma - verukózny rohovatejúci karcinóm. Uvedený typ nádoru nemetastázuje, ale môže vykazovať známky lokálnej invázie. Jeho výskyt je do 5 % rohovatejúcich nádorov a prakticky sa nevyskytuje mimo endemických oblastí schistosomiázy (4,5). V krajinách bez endemického výskytu schistosomiázy sú rizikovými faktormi vzniku: neurogénny močový mechúr (6), chronické dráždenie (permanentný katéter, zväčšenie prostaty, chronická retencia moču) a fajčenie. U tohto nádoru je pozorovaný najvyšší výskyt v 7. decéniu so zastúpením pohlaví M:Ž 3:2 až 2:1. Zvýšená produkcia katecholamínov vedie k proliferácii, angiogenéze a inhibícii apoptózy na podklade metaplázie a dysplázie k vzniku karcinómu. Taktiež bolo pozorované zvýšené riziko u hypovitaminózy A a liečbe cyklofosfamidom (7). Otázne je postavenie infekcie HPV v možnej etiológii tohto ochorenia. U pacientov vystavených dlhodobo chronickému dráždeniu (viac ako 10 rokov) je možné zvažovať aktívny dispenzár a cystoskopické kontroly v ročných intervaloch.
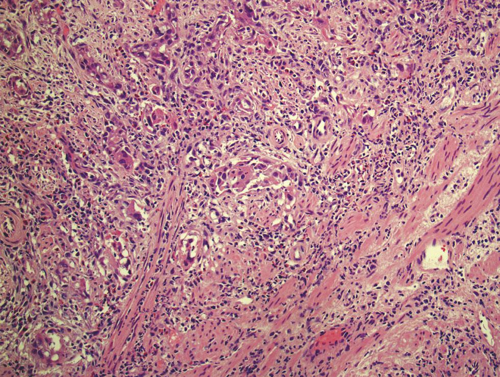
Najčastejším klinickým prejavom je bezbolestná hematúria, môžu však byť pridružené dysúrie či polakisúrie. Bolesti v panve, v chrbte či hydronefróza sú známkou pokročilého ochorenia. Vyše 90 % pacientov má v čase diagnózy prítomnú infekciu močových ciest. Histologicky je prítomná skvamózna diferenciácia (medzibunkové mostíky, keratohyalínové granuly, tvorba perál) (obrázok č.1).
Pre nádor je skôr typická lokálna progresia ako vzdialená diseminácia ochorenia. Vzhľadom na uvedené biologické správanie je metódou liečby radikálna cystektómia. Väčšina prác popisuje pomerne malé kohorty pacientov (tabuľka č.1). 5 ročné prežitie je udávané 33-48 %, 10 ročné prežitie 23 % (8), pričom prognóza je lepšia ako pre rovnaké štádium svalovinu infiltrujúceho uroteliálneho karcinómu. V pomerne veľkej sérii 154 pacientov publikovanej Elsobkom 2002 bolo celkové 5 ročné prežívanie 68 % v pT1 a 56 % u pT2 nádorov. 5 ročné prežívanie u pT3 a pT4 nádorov bolo len 19 % (9). Pacienti majú vysoké riziko uretrálnej recidívy pozorovanej až u 40 % pacientov(6).
NCCN usmernenia neodporúčajú použitie neoadjuvantnej alebo adjuvantnej chemoterapie pre čistý skvamocelulárny karcinóm. Lepšia lokálna kontrola je dosahovaná radikálnou cystektómiou alebo rádioterapiou. Rádioterapia môže byť zvažovaná aj u pacientov s pozitívnymi okrajmi po radikálnej cystektómii. Pre pokročilejšie ochorenia je odporúčané zaradenie do klinických štúdií a u vybraných pacientov je potrebné zvážiť kombinovanú chemoterapiu paklitaxelom, ifosfamidom a cysplatinou (10).
Adenokarcinóm močového mechúra.
Adenokarcinómy sú zriedkavé a tvoria len 2 % nádorov močového mechúra. Vždy je potrebné vylúčiť možné sekundárne postihnutie adenokarcinómami z iného origa, medzi ktoré najčastejšie patrí prostata, kolorektum, endometrium, krčok uteru a iné. Maximum výskytu je v 6.-7. decéniu s prevahou mužov. Nádor sa vyskytuje v rôznych rastových modeloch (črevný, mukózny, pečatného prsteňa, NOS a zmiešané typy). Je typický pre pacientov s extrofiou močového mechúra, kde tvorí až 90 % nádorov. Samostatným podtypom je Clear cell carcinoma, ktorý postihuje častejšie ženy, najčastejšie v 6. decéniu. V liečbe u adenokarcinómov nebola preukázaná úloha neoadjuvantnej alebo adjuvantnej chemoterapie. Najlepšia lokálna kontrola u lokalizovaných ochorení bola preukázaná radikálnou chirurgickou liečbou alebo rádioterapiou. Pri uzlinovom postihnutí je potrebné zvážiť použitie kolorektálneho režimu FOLFOX alebo GemFLP a u odpovedajúcich pacientov následne zvážiť radikálnu chirurgickú liečbu. U diseminovaných ochorení je preferované zaradenie do klinických štúdií, alebo pokračovať liečbou založenou na 5-FU režimoch alebo ITP režimoch. Uvedený postup bol overený aj v prospektívnych štúdiách (11).Urachálny adenokarcinóm močového mechúra
Jedná sa skôr o anatomicky ako o histologicky definovaný nádor, napriek tomu je uvedený vo WHO klasifikácii ako samostatný typ. Histologicky bývajú zastúpené rôzne typy nádorov vyskytujúce sa v močovom mechúri, predominantne však adenokarcinómy - viac ako 90 % prípadov. Riziko recidívy do 2 rokov je 15 - 41 %, ale vo všeobecnosti je dlhodobá prognóza lepšia ako u iných neurachálnych adenokarcinómov močového mechúra. 5-ročné prežívanie je 50 % vs. 35 % (12). U uvedeného karcinómu boli zavedené rôzne klinické štádiovacie systémy slúžiace na porovnávanie výsledkov liečby. Najčastejšie používané sú uvedené v tabuľke č.2.
Radikálna chirurgická liečba zahŕňa radikálnu cystektómiu, parciálnu cystektómiu s resekciou zadnej fascie musculus rectus abdominis, priľahlého tkaniva a umbilika a panvovú lymfadenektómiu. Najväčšou publikovanou kohortou pacientov je publikácia z Mayo Clinic, ktorá zahŕňa 130 pacientov z rokov 1951 - 2004. Retrospektívne bola hodnotená lézia v oblasti urachu a v 70 prípadoch bolo zistené zhubné ochorenie. Priemerný vek pacientov bol 60,7 roku, pomer M:Ž 2,3:1. 5-ročné špecifické prežívanie bolo 49 %. Ako nezávislý prediktívny faktor bol vyhodnotený grade nádoru (HR, 3.7; 95 % CI, 1.7 - 7.9) a chirurgické okraje nádoru (HR, 3.8; 95 % CI, 1.9 - 7.5). U pacientov s progresiou ochorenia bola v následnej liečbe indikovaná záchranná chemoterapia (celkovo u 14 pacientov): cisplatina (50 %), doxorubicín (36 %), cyklofosfamid (21 %), 5‐fluóruracil (21 %), a paklitaxel (14 %). Doba od rozvoja metastatického postihnutia do úmrtia, však nebola rozdielna u pacientov bez aplikovanej chemoterapie a u pacientov liečených chemoterapiou (p=852).(13) V NCCN odporúčaniach platia pre liečbu tohto ochorenia rovnaké pravidlá ako pre inde lokalizované adenokarcinómy močového mechúra.
Malobunkový karcinóm močového mechúra - Small cell carcinoma (SCCB)
Ide o zriedkavý typ nádoru tvoriaci len cca 0,7 % nádorov močového mechúra (0,35 - 1,8 %) (14). Incidencia je udávaná 1-9/1 000 000 obyvateľov a pomer pohlaví M:Ž 5:1. V literatúre je popísaných len cez 1 000 prípadov. Najčastejší primárny výskyt je v pľúcach, ale popísaný bol aj v iných orgánoch (GIT, hepatobiliárny systém, larynx, slinné žľazy, uterus, cervix). Geneticky sú typické delécie v oblastiach 10q, 4q, 5q a 13q a postihnutie tumor supresorového génu PTEN a retinoblastónového génu. U uvedeného nádoru je častý kombinovaný výskyt spolu s uroteliálnym karcinómom, adenokarcinómom alebo spinocelulárnym karcinómom, ktorý je popisovaný v 30 - 80 % prípadov. Najčastejším klinickým symtómom je hematúria (63 - 88 % prípadov). U uvedeného typu boli zriedkavo popísané aj paraneoplastické syndrómy ako hypersekrécia ACTH alebo hyperkalcémia.Na rozdiel od malobunkového nádoru pľúc, vyše 50 % liečených pacientov podstúpi radikálnu operačnú liečbu. Bolo publikovaných veľa malých kohort pacientov s adjuvantnou aj neoadjuvantnou CHT aj RT (tabuľka č.3). Na základe prospektívnej štúdie publikovanej Siefkom v roku 2009 u 30 pacientov porovnávajúcu chemoterapiu + chirurgickú liečbu vs. chemoterapiu, bolo 5 ročné prežívanie v prvej skupine 80 % a celkové prežívanie 58 vs. 13,3 mesiaca. Podľa týchto údajov sú 4 cykly chemoterapie v kombinácii: ifosfamid + doxorubicín + etopozid + cisplatina momentálne asi najlepšia neoadjuvantná kombinácia u chirurgicky resekovateľných pacientov. Riziko metastatického postihnutia mozgu v III./IV. štádiu však bolo až 50 % (15). Chemoterapia je taktiež metódou voľby u pokročilého malobunkového karcinómu močového mechúra a publikované údaje u zavedených protokolov umožňujú zvážiť aj prítomnosť viacerých histologických typov v nádore močového mechúra (tabuľka č.3).
Sarkómy močového mechúra
Sarkómy sú nádory tvoriace minoritné zastúpenie v primárnych nádoroch močového mechúra. V Surveillance, Epidemiology and End Results programe (SEER) za roky 1973 - 2012 je vedených 470 pacientov s uvedeným typom nádoru. Za uvedené obdobie bolo 5 ročné špecifické prežívanie 51.8 % u pacientov s uroteliálnym karcinómom vs. 36.4 % so sarkómom močového mechúra (16). Pre odporúčania liečby sarkómov platia rovnaké odporúčania ako pre sarkómy v iných lokalizáciách.Melanóm močového mechúra
Do dnes je v literatúre publikovaných menej ako 50 prípadov melanómov močového mechúra. Podľa literárnych údajov boli pacienti vo veku 44 - 81 rokov, bez preferencie pohlavia. Najčastejším klinickým udávaným symptómom je hematúria (17). Vzhľadom na raritný výskyt sa väčšina klinikov za celý život nestretne s uvedenou entitou. V diagnostike je typický cystoskopický obraz pigmentovanej lézie (obrázok č.2). V diferenciálnej diagnostike je potrebné myslieť na endometriózu alebo sarkóm. V prognóze rozhoduje rozsah ochorenia a pri včasnom záchyte je možné uvažovať o excízii ložiska. Pri diseminovanom ochorení je liečba rovnaká ako pri inom primárnom výskyte.Záver
Patel a spolupracovníci publikovali v roku 2018 analýzu 14 130 pacientov sledovaných v Surveillance, Epidemiology and End Results program (SEER) databáze. Zastúpenie jednotlivých typov nádorov močového mechúra bolo nasledujúce: z prechodného epitelu – TTC (90.1 %), rohovatejúci karcinóm - SCC (4.6 %), adenokarcinóm - AC (2.3 %), sarkómy (0.8 %), malobunkový karcinóm (0.8 %), karcinóm pečatného prsteňa (0.5 %) a vretenovito bunkový karcinóm (0.9 %). Medián sledovania bol 25 mesiacov (10 - 61) (16). Na základe týchto údajov bolo prepočítané riziko pre celkové a nádorovo špecifické prežitie podľa typu nádoru a štádia ochorenia v porovnaní s klasickým uroteliálnym karcinómom (tabuľka č.4).
Pre neuroteliálne malígne nádory nie sú, vzhľadom na ich ojedinelý výskyt, definované jasné odporúčania liečby a ich terapia sa často odvíja od tzv. lokálnych protokolov. Len pre malú časť nádorov existujú dáta založené na dôkazoch, ktoré umožnili zlepšiť prežívanie pacientov s uvedeným ochorením. Aj keď sa všetky neuroteliálne malígne nádory považujú za vysokorizikové, ako najlepšia možnosť ich liečby sa javí primárna radikálna chirurgická liečba. Budúcnosť vedie k liečbe pacientov v klinických štúdiách, alebo aspoň dobre vedených registroch.
Literatúra
1. Diba CH., Hlava P. Incidencia zhubných nádorov v Slovenskej republike 2010 Vydavateľstvo NCZI, Bratislava 2017
2. Galbavý Š. Patológia nádorov močového mechúra. Onkológia. 2010;5:248-250
3. Humphrey PA, Moch H, Cubilla AL, Ulbright TM, Reuter VE. The 2016 WHO Classification of Tumours of the Urinary System and Male Genital Organs-Part B: Prostate and Bladder Tumours. Eur Urol. 2016;70(1):106-119. doi:10.1016/j.eururo.2016.02.028
4. Martin JW, Carballido EM, Ahmed A, et al. Squamous cell carcinoma of the urinary bladder: Systematic review of clinical characteristics and therapeutic approaches. Arab Journal of Urology. April 2019. doi:10.1016/j.aju.2016.07.001
5. Abol-Enein H, Kava BR, Carmack AJK. Nonurothelial Cancer of the Bladder. Urology. 2007;69(1, Supplement):93-104. doi:10.1016/j.urology.2006.08.1107
6. Bejany DE, Lockhart JL, Rhamy RK. Malignant Vesical Tumors Following Spinal Cord Injury. The Journal of Urology. 1987;138(6):1390-1392. doi:10.1016/S0022-5347(17)43651-2
7. Stein JP, Skinner EC, Boyd SD, Skinner DG. Squamous Cell Carcinoma of the Bladder Associated with Cyclophosphamide Therapy for Wegener’s Granulomatosis: A Report of 2 Cases. The Journal of Urology. March 1993. https://www.auajournals.org/doi/abs/10.1016/S0022-5347%2817%2936156-6.
8. Ghoneim MA, El-Mekresh MM, El-Baz MA, El-Attar IA, Ashamallah A. Radical Cystectomy for Carcinoma of the Bladder: Critical Evaluation of the Results in 1,026 Cases. The Journal of Urology. August 1997. https://www.auajournals.org/doi/abs/10.1016/S0022-5347%2801%2964487-2.
9. Elsobky E, El-Baz M, Gomha M, Abol-Enein H, Shaaban AA. Prognostic value of angiogenesis in schistosoma-associated squamous cell carcinoma of the urinary bladder. Urology. 2002;60(1):69-73. doi:10.1016/S0090-4295(02)01669-2
10. Flaig TW, Spiess PE, Agarwal N, et al. NCCN Guidelines Insights: Bladder Cancer, Version 5.2018. J Natl Compr Canc Netw. 2018;16(9):1041-1053. doi:10.6004/jnccn.2018.0072
11. Galsky MD, Iasonos A, Mironov S, et al. Prospective trial of ifosfamide, paclitaxel, and cisplatin in patients with advanced non-transitional cell carcinoma of the urothelial tract. Urology. 2007;69(2):255-259. doi:10.1016/j.urology.2006.10.029
12. Wright JL, Porter MP, Li CI, Lange PH, Lin DW. Differences in survival among patients with urachal and nonurachal adenocarcinomas of the bladder. Cancer. 2006;107(4):721-728. doi:10.1002/cncr.22059
13. Ashley RA, Inman BA, Sebo TJ, et al. Urachal carcinoma: Clinicopathologic features and long-term outcomes of an aggressive malignancy. Cancer. 2006;107(4):712-720. doi:10.1002/cncr.22060
14. Ismaili N. A rare bladder cancer - small cell carcinoma: review and update. Orphanet J Rare Dis. 2011;6:75. doi:10.1186/1750-1172-6-75
15. Siefker-Radtke AO, Kamat AM, Grossman HB, et al. Phase II clinical trial of neoadjuvant alternating doublet chemotherapy with ifosfamide/doxorubicin and etoposide/cisplatin in small-cell urothelial cancer. J Clin Oncol. 2009;27(16):2592-2597. doi:10.1200/JCO.2008.19.0256
16. Patel SG, Weiner AB, Keegan K, Morgan T. Oncologic outcomes in patients with nonurothelial bladder cancer. Indian Journal of Urology. 2018;34(1):39. doi:10.4103/iju.IJU_115_17
17. Venyo AK-G. Melanoma of the Urinary Bladder: A Review of the Literature. Surg Res Pract. 2014;2014. doi:10.1155/2014/605802
Tabuľka 1. Celkové prežívanie pacientov (všetky štádiá) s rohovatejúcim nádorom močového mechúra po liečbe.
| Autor | Rok | Stupeň dôkazu | Počet pacientov | Liečebná modalita | 5-ročné celkové prežitie, % |
| Richie et al. | 1976 |
III |
33 |
RC |
48 |
| Kassouf et al. |
2007 |
III |
27 |
RC + neodajuvantná CHT alebo predoperaná RT |
47,6 po 2 rokoch |
| Jones et al. |
1980 |
III |
51 |
RT + elektívna RC |
16 |
| Rundle et al. |
1982 |
III |
114 |
RT |
1,9 |
| Quilty et al. |
1989 |
III |
107 |
RT |
18,3 v 3 rokoch |
| Johnson et al. |
1976 |
III |
90 |
RC + predoperačná RT |
34 (17,7 len RT) |
| Prempree et al. |
1984 |
III |
52 |
RC + predoperačná RT |
40 (16 len RT) |
| Swanson et al. |
1990 |
III |
25 |
Rc + predoperačná RT |
50 |
| Rausch et al. |
2012 |
III |
31 |
RC +- neoadjuvantná CHT, +-RT |
26 |
| Galsky et al. |
2007 |
II |
8 |
CHT |
Medián prežitia 8,9 mesiaca |
Tabuľka č.2 Porovnanie jednotlivých štádií urachálneho karcinómu podľa rôznych štádiovacích systémov : Sheldon, Mayo Clinic a TNM.
| Štádium | Sheldon systém | Mayo Clinic systém | TNM systém |
| štádium I. |
Postihuje urachálnu mukózu |
Postihuje urachus a močový mechúr |
Invázia do bazálnej membrány |
| štádium II. |
Postihuje urachus, invazívny |
Nádor sa šíri za urachus alebo močový mechúr |
Invázia do moč. mechúra: 1.za hlbokú svalovinu moč. mechúra 2.postihnutie mukózy |
| štádium III. |
Lokálne postihnutie: a- svalovina mechúra b-brušná stena c-peritoneum d- iné viscerálne orgány |
Postihnutie regionálnych lymfatických uzlín |
Extravezikálny nádor, perivezikálny tuk, brušná stena |
| štádium IV. |
Metastázy do: a-regionálnych LU b-vzdialené miesta / postihnutie peritonea |
Vzdialené LU alebo metastázy / postihnutie peritonea |
Postihnutie peritonea |
Tabuľka č.3 Malobunkový karcinóm močového mechúra, prehľad liečebných postupov a výsledkov liečby v sledovaných kohortách.
| Autori |
Počet |
Dizajn štúdie | Štádium | Liečba (počet) | Výsledky + komentár | |
| Ismaili 2008 |
14 |
retrospektívna |
II(4) III(5) IV M0(5) |
RC » CHT(4) RC(5) CHT » RC (2) CHT (1) RT+CHT(1) Bez liečby (1) |
Prežívanie: zmiešaný malobunkový karcinóm > čistý malobunkový karcinóm, p=0,01 CHT + RC > RC |
|
| Bex 2009 |
17 |
retrospektívna |
Lokalizované ochorenie T2 (14) T3 (2) T4a(1) |
CHT » RT (60 56 70Gy) (17) Záchranná RC (3) |
Všetci pacienti boli liečení sekvenčnou chemoterapiou, OS 32,5 mesiaca 2, 3 a 5 ročné prežitie 56, 47 a 36 % |
|
| Siefker Radke 2009 |
30 |
Fáza II |
Operabilní pacienti (18) : T2N0M0 |
CHT » RC |
5 ročné prežitie v operovanej skupine 80 % OS 85 mesiacov vs. 13,3 mesiaca – operovaní vs. neoperovaní Výskyt mozgových MTS 50 % v štádiu III/IV. |
|
| Neoperabilní pacienti (12): T3b-4aN0M0 |
Len CHT |
|||||
| Bex 2010 |
51 |
retrospektívna |
LD(39) |
CHT » RT |
OS pacientov s LD 35 mesiacov vs. 6 mesiacov u pacientov s ED |
|
| ED(12) |
CHT |
|||||
| Bex 2005 |
25 |
prospektívna |
LD(10) ED(3) |
Skupina s CHT | CHT(13) » RT(8) |
CHT > bez CHT (OS 15 vs. 4 mesiace, p=0,003) |
| LD(7) ED(5) |
Skupina bez CHT |
RT(5) RC(3) P(4) |
||||
Tabuľka č. 4. Cox proporčná analýza rizika celkového a nádorovo špecifického prežitia podľa typu nádoru a štádia v databáze Surveillance, Epidemiology and End Results program (SEER) (17)
| Premenná | OS HR(95 % CI) | P | DSS HR(95 % CI) | P |
| Vek |
1,03(1,02-1,03) |
<0,001 |
1,02(1,01-1,02) |
<0,001 |
| Ženatý |
0,81(0,77-0,86) |
<0,001 |
0,84(0,79-0,90) |
0,001 |
| High grade |
1,01(0,92-1,01) |
0,8 |
1,13(1,00-1,27) |
0,3 |
| T štádium | ||||
| <T2 |
1 |
referenčná |
1 |
referenčná |
| T2 |
1,20(1,10-1,31) |
<0,001 |
1,34(1,19-1,52) |
<0,001 |
| T3 |
2,05(1,88-2,25) |
<0,001 |
<2,73(2,42-3,08) |
<0,001 |
| T4 |
2,56(2,33-2,80) |
<0,001 |
3,50(2,42-3,08) |
<0,001 |
| N-štádium |
||||
| N0 | 1 |
referenčná |
1 |
referenčná |
| N+ |
1,87(1,75-1,99) |
<0,001 |
2,16(2,01-2,32) |
<0,001 |
| NX |
1,54(1,39-1,69) |
<0,001 |
1,73(1,54-1,96) |
<0,001 |
| Histologický typ |
||||
| UCC |
1 |
referenčná |
1 |
referenčná |
| SCC |
1,13(1,00-1,27) |
0,03 |
1,28(1,11-1,47) |
<0,001 |
| AC |
1,01(0,85-1,19) |
0,9 |
1,01(0,82-1,23) |
0,9 |
| Sarkómy |
1,63(1,25-2,13) |
<0,001 |
1,85(1,36-2,51) |
<0,001 |
| Malobunkový |
1,30(0,96-1,77) |
0,08 |
1,40(1,00-1,97) |
0,5 |
| Pečatného prsteňa |
1,70(1,25-2,32) |
0,001 |
1,64(1,17-2,31) |
0,004 |
| Vretenobunkový |
1,55(1,17-2,05) |
0,002 |
1,71(1,24-2,36) |
0,001 |
Obrázok č.1. Rohovatejúci karcinóm močového mechúra infiltrujúci hlbokú svalovinu. Urologické oddelenie FN Nitra

Obrázok č.2: Endoresekcia metastázy melanómu močového mechúra (typická pigmentácia ložiska). Urologické oddelenie FN Nitra

Kód: 000706641/2024/11